骨髄(こつずい)検査は、他の病気でないことを確認するために行います。
- 骨髄検査には「骨髄穿刺(せんし)」と「骨髄生検(せいけん)」があり、これらによって他の病気ではないことを確認します。
- それぞれの検査法は目的が異なるので、原則的に両方行う必要があります。
 
| 検査法 | 検体 | 調べること | 
|---|---|---|
| 骨髄穿刺 | 骨髄液 | 
 | 
| 骨髄生検 | 骨髄のかたまり(骨髄組織片) | 
 | 
 
他の病気ではないことを確認
骨髄穿刺のしかた
「腸骨(ちょうこつ)」と呼ばれる腰の骨に針を刺して骨髄液を吸引します。腸骨から骨髄を採取できない場合は、やむを得ず、胸の「胸骨(きょうこつ)」から穿刺することもあります。
 
骨髄生検のしかた
骨髄穿刺よりもやや太い「生検針」を腸骨に刺して、骨髄組織片を採取します。
 
骨髄検査にあたっては・・・
- 処置室で10分程度かけて検査します。
- 検査に必要な十分量の骨髄液が採れなかった場合には、部位を変えて穿刺することもあります。
- 局所麻酔をするときや骨髄液を吸引するときに痛みがあります。
- 外来で実施が可能ですが、検査当日は入浴できません。
 
 
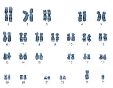
採取した骨髄の「染色体」と呼ばれる物質を顕微鏡で観察し、本数や形に異常がないかどうかを調べる検査です。
正常な場合の染色体
 
画像提供:川崎医科大学検査診断学 通山 薫 先生
 
再生不良性貧血では、多くの場合染色体に異常はありませんが、染色体が1本多かったり、少なかったりしていることもあります。
染色体検査で「骨髄異形成症候群」や「急性骨髄性白血病」に移行しやすいタイプかどうか分かる場合もあり、治療法を選ぶ際に役立ちます。
